2021.06.22
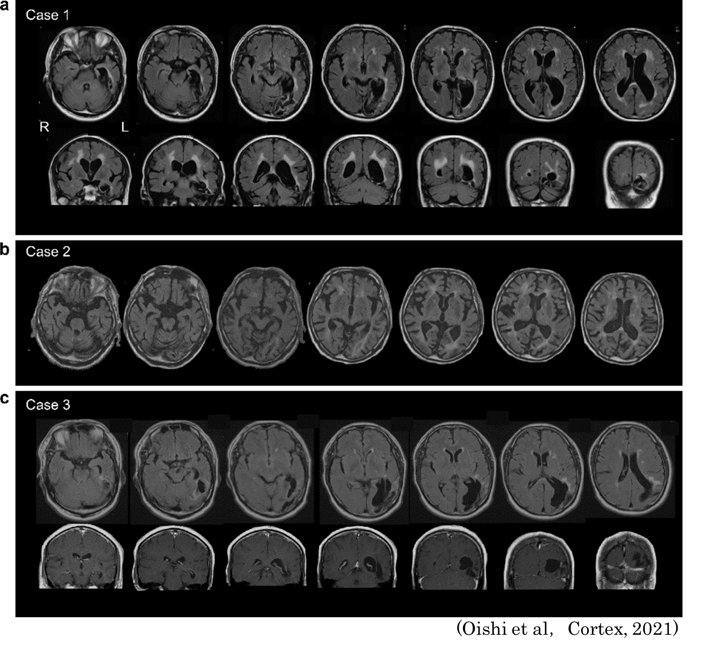
脳卒中後におこる物体と色に関する知識の障害については、純粋例が少ないことから、そのメカニズムについては十分にわかっていませんでした。今回の研究では、左後頭葉損傷後に物体の形と色の連合に障害を呈した2症例を対象に、神経心理学的検討を行いました。その結果、物の形と色の連合には左紡錘状回を要とするネットワークが重要であり、この部位の障害で色に特異的な意味記憶障害が生じうることが明らかとなりました。
本研究成果は、国際学術誌「Cortex」に掲載され、2021年5月13日に電子ジャーナルPub Med上にて公開されました。
色の認知にはさまざまな過程があり、脳の損傷でそれぞれの過程が障害されることがあります。物の色に関する知識の障害、色と形の連合の障害は純粋例の報告が極めて稀であり、その症候はこれまで明らかにされていませんでした。
今回の研究で得られた知見は、色認知障害を呈する患者さんに対するリハビリテーションの開発や日常生活における支援に役立つ可能性があります。

脳卒中後に左後頭葉損傷を呈した3症例における色認知障害の特徴とメカニズムについて、神経心理学的検討を行いました。
色の呼称障害は物の呼称とは独立して生じうることが明らかとなりました。


Oishi Y, Nagasawa H, Hirayama K, Suzuki K, Neural bases of color-specific semantic loss: Two cases of object-color knowledge impairment. Cortex 141: 211-223, 2021,
doi: https://doi.org/10.1016/j.cortex.2021.04.014
>>言語聴覚学科の詳細はこちら
https://www.nuhw.ac.jp/faculty/medical/st/
>>言語聴覚学科ブログはこちら
https://nuhw-st.info/