高齢者でもストレッチングすると筋肉はちゃんと柔らかくなる?
-若年女性と高齢女性を対象とした研究-
研究内容の概要:
一般的に年を取る(加齢)と筋肉が硬くなってしまうので,ストレッチングをすることが重要だと考えられてきました.しかし,これまで高齢者を対象にストレッチングが筋肉を柔らかくするのか?ということに着目した研究はありませんでした.また,若者を対象とした場合には,ストレッチングにより筋肉が柔らかくなることが証明されていましたが(Nakamura M, et al. 2011-2016など),その柔らかくなる効果が若年者と高齢者で異なるのか?ということを研究しました.その結果,高齢者においても5分間のストレッチングを行うことで筋肉の柔らかさは増加し,その効果は若年者と違わないという結果になりました.本研究の成果は「Musculoskeletal Science & Practice」に掲載予定です.
研究者からのコメント:
本研究は,超音波画像診断装置に搭載されているせん断波エラストグラフィー機能を用いて筋の硬さ(弾性率)を測定し,5分間のスタティックストレッチングの効果を高齢女性と若年女性で比較しました.興味深いことに,加齢に伴い筋の硬さは増加すると考えていましたが,本研究の対象者の地域在住の高齢女性の筋の硬さは若年女性と同じでした.またスタティックストレッチングの効果に関しても若年女性と高齢女性で同程度であったことを明らかにしました.これらの結果より,スタティックストレッチングの効果に年齢の影響は少なく,十分なストレッチング時間を設定すれば,高齢女性においても筋の柔軟性を増加することができることがわかりました.この結果は,健康増進やリハビリテーション目的で行っているストレッチング科学的根拠の一助となり,今後の理学療法の発展につながることが期待できます.

本研究成果のポイント:
1.ストレッチングの効果を高齢女性と若年女性で比較した点
これまでの研究では若年者(若者)に対するストレッチングの効果が研究されてきましたが,今回の研究では初めて,高齢者に対するストレッチングが弾性率(筋の硬さの指標)に与える影響を明らかにしました.

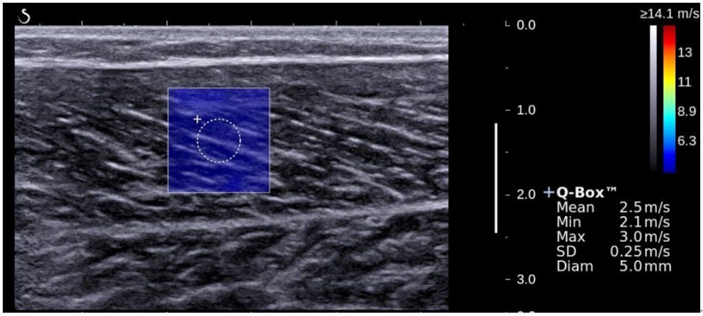
2.最先端の技術であるせん断波エラストグラフィー機能で筋の硬さを評価した点.
研究で使用した超音波画像診断装置の画像の一つです.この機能は筋に伝わるせん断波の速度から筋の硬さである弾性率を算出し,その弾性率を指標のストレッチングの効果を若年女性と高齢女性で比較しました.

原著論文情報:
Nakamura M, Ikezoe T, Nishishita S, Umehara J, Kimura M, Ichihashi N.
Acute effects of static stretching on the shear elastic moduli of the medial and lateral gastrocnemius muscles in young and elderly women
Musculoskeletal Science and Practice [in press]